Jen málo veterinárních chirurgů umí to, co MVDr. Jan Beránek
Čeští borci žijící v zahraničí.
JAN BERÁNEK MVDr DipECVS CertCAAPR MRCVS patří k elitě specializovaných veterinárních chirurgů ve Velké Británii a je jeden z mála Čechů, kteří dosáhli nejvyššího dosažitelného stupně vzdělaní veterinárního chirurga a jsou nositeli diplomu ECVS nebo ACVS (European nebo American College of Veterinary Surgeons). Pracuje na prestižní britské klinice Kentdale Referrals, která si ho mimo jiné zvolila jako tvář své webové stránky.
Podle odhadu Ministerstva zahraničních věcí ČR, žije v zahraničí cca 2 – 2,5 mil. osob českého původu. Na mnoho z nich můžeme být hrdí, protože ve svém oboru dosáhli na stupně nejvyšší a posunuli jej ještě dál.
Od kdy jsi věděl, že chceš být veterinářem a co tě posléze přimělo studovat dál i mimo Českou republiku?
Já si to po pravdě už moc nepamatuji. Moje maminka je skvělá chirurgická sestra a chirurgii mám myslím v krvi. Vybavuje se mi léto před univerzitou, které jsem strávil přemýšlením, kterou medicínu si vybrat. Jestli bych chtěl léčit lidi nebo zvířata. Na konci léta jsem si nedokázal představit, že by kvůli mému případnému omylu mohl umřít člověk. Takže jsem se rozhodl, že svým případným neuměním budu „týrat“ zvířata.
Taky jsem byl pod romantickým vlivem Jamese Herriota (britský veterinář a spisovatel, který proslul sérií knih o svém životě veterináře). Romantika veterinární profese bohužel narazila na drsnou realitu předrevoluční veterinární univerzity, a přestože jsem si roky studií v Brně užil ve smyslu studentského života, nemůžu říct, že bych školu opouštěl se vzděláním, které bych dnes pojmenoval odpovídající vynaloženému úsilí.
Díky šťastné shodě okolností, jsem po graduaci potkal pár skvělých lidí, kteří mě nasměrovali na správnou cestu dalšího vzdělávání. To bohužel nebylo a stále není možné v České republice. Mezi lidmi, kteří mi na začátku mé profesní kariéry otevřeli oči, vyniká Petr Šrenk, můj první šéf a zakladatel prvního veterinárního referenčního centra v České republice.
Jsem z generace, kterou zastihl rok 1989 ve 2. ročníku univerzity. Po revoluci se začala objevovat literatura v němčině a angličtině. Ovšem tyto informace byly tištěné a neexistoval člověk, který by nám dělal průvodce. Většina věcí v literatuře se zdála být odtržená od běžné praxe v české veterinární medicíně.
Co ti na Velké Británii vyhovuje? Nevadí ti deštivé počasí?
Žít ve Velké Británii byl můj klukovský romantický sen inspirovaný knihami Artura Ransomeho (Vlašťovky a Amazonky), příběhy krále Artuše a rytířů kulatého stolu a hrdinstvím českých pilotů z druhé světové války. Před 13 lety jsem skoro utíkal z České republiky, protože jsem byl vyhořelý v profesním i osobním životě, frustrovaný „blbou náladou“ a korupcí v ČR a v zásadě závislý na alkoholu.
V Británii jsem našel nový domov a všechno to, co mi předtím chybělo. Pozitivní náladu, funkční a odpovědnou společnost a nádhernou zemi, která mi okamžitě učarovala. Jsem v jádru melancholik a déšť mi vyhovuje. Přestal jsem plánovat pobyt venku podle počasí. Není pravda, že pořád prší. Pravda je, že pršet může začít kdykoli, ale déšť často skončí tak náhle, jak začal. Za jeden den se dokáže několikrát po sobě vystřídat čtvero ročních období.

Proč sis vybral právě Anglii?
Anglii jsem si vybral kvůli jazyku, kterým se domluvím a prestiži veterinární profese. Pokud přijmeme všeobecně rozšířený názor, že nejlepší veterina se dělá ve Spojených státech, potom Velká Británie je jenom o malý krůček pozadu a na evropském poli patří společně se Švýcarskem a Nizozemím mezi nejvyspělejší státy.
V Čechách se vzdělání Evropské koleje veterinárních chirurgů ECVS nedá dosáhnout. Jaké má tedy v Evropě člověk možnosti? Co pro to musí udělat?
ECVS (European Colegge of Veterinary Surgeons) vznikla podle vzoru koleje americké (ACVS) a v zásadě jako její sesterská organizace. Sdružuje vysoce specializované veterinární chirurgy malých (psi a kočky) a velkých zvířat (hospodářská zvířata a koně). Já jsem zaměřený na malá zvířata.
Rezidentské studium v rámci ECVS trvá minimálně tři roky a musí probíhat pod přímým dozorem už kvalifikovaného nositele diplomu ECVS. Asi nemusím zmiňovat, že takové studium se odehrává v angličtině. Rezidentura je zakončena těžkou několikadenní zkouškou jejíž prostupnost se pohybuje mezi 20-30 %. Na konci trnité cesty je diplom ECVS, který se ale musí každých pět let obnovovat. To, aby člověk neusnul na vavřínech.
ECVS má kolem 500 členů a počet existujících rezidenčních programů je omezený. Poptávka mnohonásobně překračuje nabídku. Když nebudeme brát v potaz jazykovou bariéru, největší problém je získat pozici rezidenta. Znám spoustu skvělých lidí a nadějných chirurgů, kteří strávili několik let usilováním o pozici chirurgického rezidenta a někdy na ní nedosáhli.
Já jsem měl štěstí v podobě mých učitelů Dragana Lorinsona ve Vídni, Helmuta Stegera v Pidingu (Německo), který už bohužel není mezi námi a Ueliho Rytze v Bernu (Švýcarsko), kteří se mě ujali a nasměrovali mně na cestu chirurgické specializace, které se snažím držet. Ve srovnání s ostatními jsem začal později. Studium bylo tvrdé a v zásadě mě přivedlo až na hranici osobní údržnosti, ke dni, kdy jsem takřka přes noc změnil jazyk a zemi, která mi do té doby byla domovem.
MOHLO BY VÁS ZAJÍMAT
Jak zabavit psa, když je venku pod psa
Praktické tipy, hry a aktivity, které vašeho psa zabaví a unaví i v dešti nebo mrazu. Čmuchání, hlavolamy, triky a bezpečné hraní doma.
Předáváš své zkušenosti dál? Máš nějaké studenty?
Jsem vedoucím chirurgem rezidenčního programu na Kentdale Referrals, kde momentálně působím. Musím se pochlubit, moje první rezidentka Gemma Holloway úspěšně absolvovala rezidenční program, letos v únoru složila zkoušku a stala se diplomantkou ECVS. Program má momentálně další dva rezidenty, kteří pokračují v jejích šlépějích.
Když srovnáš podmínky na klinikách v Čechách a ve Velké Británii. V čem je zásadní rozdíl?
Obecná veterinární praxe je v obou zemích srovnatelná. Odlišné je vnímání a zodpovědnost veterinárních lékařů ve smyslu jejich kvalifikace pro výkon určitého stupně specializovaného veterinárního ošetření. Těžko si představit, že by vám zlomenou nohu operoval váš domácí lékař, který vám normálně předepisuje pilulky na kašel.
Struktura veterinární profese a přímočarost odeslání pacienta na specializované pracoviště je dlouhodobě usazena v kodexu Královské koleje veterinárních chirurgů RCVS a je stejnou kolejí přísně dozorovaná. Jednoduše řečeno, všichni vědí, kde je jejich místo v dané hierarchii a jaké jsou jejich limity.
Práce specializovaného veterinárního chirurga ve Velké Británii je svobodnější, méně závislá na finančních omezeních, vycházející z lépe dostupných diagnostických modalit a spolupráce s ostatními vysoce kvalifikovanými specialisty.
Diplomované sálové veterinární sestry jsou nedocenitelnou pomocí a zdrojem příjemného pracovního prostředí na chirurgickém sále. Je obtížně pochopitelné, že v ČR pořád ještě neexistuje profese veterinární sestry. Většina pacientů odeslaných na specializované pracoviště je pojištěná a drahá chirurgická péče je tak dostupná i lidem, kteří by na ni za normálních okolností nedosáhli.
Co České republice chybí a bude chybět ještě dlouhou dobu je stoprocentní příprava studenta jako veterinárního medika, protože systém vzdělávání zůstává nastaven stejně špatně, jako jsem jej zažil já před několika desetiletími.
Provádí dnes vrcholová veterinární chirurgie stejně náročné operace jako ta lidská? Můžeš dát pár příkladů?
Veterinární chirurgové se učí od chirurgů lidských. Postupy aplikované na humánního pacienta se adaptují na pacienta zvířecího. Veterinární neurochirurgové umí odstranit nádor z mozku, operovat vyhřezlý meziobratlový disk, stabilizovat nestabilní páteř pomocí 3D tištěných operačních šablon.
Veterinární ortopedové umí spravit v zásadě jakoukoli zlomeninu, umí nahradit kyčelní, loketní a kolenní kloub, umí narovnat nebo natáhnout zdeformovanou končetinu.

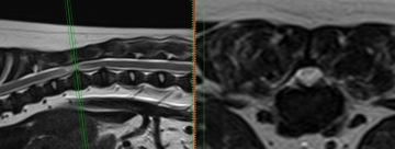
Počítačové plánování stabilizační spinální chirurgie
CT a magnetická rezonance je na specializovaných klinikách běžným vyšetřovacím zobrazením. Operace klíčovou dírkou se stala samozřejmostí. Před pár lety byl kongres ECVS v Budapešti věnovaný operacím hrudníku minimálně invazivními endoskopickými technikami VATS (Video Assisted Thoracic Surgery).
Spektrum onemocnění, které umíme ošetřit minimálně invazivní chirurgií se neustále rozšiřuje. Zlepšují se dostupné technologie a upravují chirurgické techniky. Zmenšuje se velikost pacientů, které jsme schopni ošetřit. Pokud se objeví zásadní průlom, bude to robotem asistovaná chirurgie, která konečně minimalizuje lidský faktor.
Postupně se prohlubuje propast mezi referenčními centry, které jsou schopna chirurgii a intervenční radiologii na vysoké úrovni vykonávat a ostatním, kteří jim pacienty k úkonu posílají. Ale na tom asi není nic překvapivého. Česká republika má taky jenom jeden IKEM.
Zásadní odlišnost mezi veterinární a humánní medicínou je přítomnost majitele pacienta. Majitel zvířete se stává členem týmu, který se domlouvá na všech následujících krocích v diagnostice i terapii. Detailní seznámení s potencionálními riziky a komplikacemi, které se specificky vážou k danému zákroku je nezbytností. Každodenní komunikace po celou dobu hospitalizace a vysvětlení pooperační péče je denní rutina.
Operoval jsi psa někomu slavnému?
Vyšetřoval jsem a doporučil terapii boxerce Dagmar Havlové. V dobách pražské kliniky Jaggy jsme často vídali psi a kočky herecké elity. V Británii se moje cesta občas zkříží s domácími miláčky anglických aristokratů. Ošetřoval jsem retrívra majitele velké mezinárodní banky v Bejrútu.
Jakou nejnáročnější operaci jsi kdy dělal? V čem byla náročná?
Na to neumím odpovědět. Každá operace, i ta nejjednodušší, je náročná, než se jí člověk naučí dělat. S počtem opakování potom roste erudice, předvídatelnost výsledků a snižuje se riziko pro pacienta. Nejvíce operačního času jsem strávil osvojením si artroskopie, minimálně invazivní chirurgie kloubu. Operace mozku a míchy jsou nejnáročnější na soustředění, chyba se jednoduše nesmí stát, protože bude stát pacienta život nebo hybnost.

Lumbosakrální spinální stabilizace
Jedny z nejnáročnějších operací jsou zákroky na deformované páteři francouzských buldočků a mopsů. Vyžadují předchozí CT a MRI vyšetření, speciální 3D tištěné vrtací šablony pro bezpečné usazení implantátů a v zásadě vytvoření nové podpůrné páteře z polymetylakrylátu (kostní cement). Takové zákroky trvají i několik hodin a vyžadují extenzivní plánování a maximální soustředění celého operačního týmu během celého zákroku.
Asi si dokážete představit úlevu, když se váš pacient po takovém zákroku postaví a udělá první vrávoravé kroky.
Náročné jsou zákroky na játrech s vrozenými cévními anomáliemi, kde hrozí neustálé riziko těžkého krvácení pacienta. Mám rád operace hrudníku, které jsou zvláštní z pohledu přítomnosti bijícího srdce pacienta.
Tvá partnerka Indre je také veterinářka. Do Británie přišla z Litvy. Jak spolu doma mluvíte? Učíte se i jazyk toho druhého?
Indre je výjimečný člověk, který se před pár lety objevil v mém životě a ukázal mi, že štěstí může být trvale přítomné v každodenním životě. Litevský jazyk je komplikovaný a mluvnicky se nepodobá žádnému jinému evropskému jazyku. Některá slova si však osvojil podobně jako čeština díky stejnému vlivu ruských okupantů. Je legrační zjišťovat, že sdílíme slova jako tapeta nebo petržel. Ne že by to bylo na plynulou konverzaci.

Pokouším se zvládnout alespoň základy mateřštiny mojí partnerky, ale myslím, že se díky tomu spíš často zasmějeme, než že bych se objektivně zlepšoval. Kromě toho, nejsem zrovna jazykový talent. Mluvíme spolu anglicky. Zajímavé jsou momenty, kdy se objeví předmět, který bychom rádi pojmenoval, ale ani jeden z nás neví, jak se daná věc v angličtině jmenuje. Poslední moment napjatého ticha a následného výbuchu smíchu způsobila konev na vodu.
Co děláš rád, když máš volno?
Rádi s Indre cestujeme, chodíme po horách, celoročně chodíme plavat do jezer v našem okolí, jezdíme na kole. Hraju tenis. Společně se potápíme. Vyrazili jsme po vlastní ose na safari po Botswaně. Vylezl jsem na Kilimanjaro. Miluju dobré filmy, rád si přečtu knihu v češtině nebo angličtině. Maluju a píšu básně.
Přednášíš po celém světě, můžeme tvou přednášku navštívit i u nás?
Do Čech se rád vracím a vážím si každého pozvání na vědeckou konferenci. Rád se podělím o svoje znalosti a mám radost, když si publikum moji přednášku užije. Jsem hrdou součástí vzdělávání veterinárních fyzioterapeutů v České republice pod záštitou Asofyrez, organizace, kterou jsem pomáhal vybudovat.
Oblíbený drink?
Káva. V poslední době voda. V dávných dobách funkčního alkoholismu víno a whisky. Dobré víno a skleničku skotské si vychutnám i dneska.
Oblíbené jídlo?
Asijská a středomořská kuchyně. Jsem nejšťastnější, když se mi povede něco dobrého uvařit.
Oblíbení spisovatelé?
Kateřina Tučková, JK Rowling, Patrick Rothfuss, Terry Pratchet, Jo Nesbo, Frederick Forsyth, Petr Stančík
Oblíbený film?
Líbil se mi poslední Avatar. Emociálně mě zasáhl The Whale s Brendanem Fraserem. Banshees of Inisherin a skvělý výkon Colina Farella. Předtím CODA. V poslední době mě oslovilo pár seriálů jako je Black Bird nebo The Last of Us. Rád se vracím ke klasikám jako je Harry Potter, LOTR nebo Gladiátor.
Oblíbená hudba?
Šedesátá léta.
|
Jan Beránek MVDr DipECVS CertCAAPR MRCVS |
EBVS® European Specialist in Small Animal Surgery
Jan Beránek ukončil studium na Vysoké škole veterinární v Brně v roce 1994. Do roku 2010 působil postupně VFU jako asistent na katedře chirurgie a ortopedie, posléze jako jako chirurg na klinice malých zvířat Jaggy Brno. Od prosince 2010 pracuje a žije ve Velké Británii. Od konce roku 2020 pracuje na referenční klinice Kentdale Referrals. Jan získal diplom Evropské koleje veterinárních chirurgů ECVS v roce 2018. Je autorem dvou knih zaměřených na rentgenologii malých zvířat a desítky chirurgických publikací v českých a zahraničních časopisech. Pravidelně přednáší na domácích i mezinárodních veterinárních kongresech. Jeho práce je zaměřena na minimálně invazivní chirurgii, rutinně se věnuje neurochirurgii a onkologické chirurgii.
Členství v ECVS a ACVS (European a American College of Veterinary Surgeons) je vykoupené tříletým rezidenčním programem a třídenní zkouškou. Je to nejvyšší dosažitelný stupen vzdělaní veterinárního chirurga. V současné době má ECVS 5 českých členů, kteří se věnuji psům a kočkám. 3 jsou v GB a dva v Německu.
Fotky z operací
(není pro citlivé povahy:)











